World News Update
  • DMCA
  • Contact
  • Privacy Policy
Home Β» Htr Obits: Unbelievable! The Secret Life They Tried To Hide Is Out. - World News Update

Htr Obits: Unbelievable! The Secret Life They Tried To Hide Is Out. - World News Update

πŸ“… December 17, 2025 πŸ‘€ Goldie

The lncRNA TUG1 modulates proliferation in trophoblast cells via

πŸ”— Related Articles You Might Like:

Cclaire.bbearxo's Secret Project: It's Going To Change EVERYTHING! Cast Of Little Rascals: The Shocking Lawsuit That Rocked Hollywood! Mike Wazowski With Two Eyes: Prepare To Question Your Entire Childhood.

πŸ“Έ Image Gallery

The lncRNA TUG1 modulates proliferation in trophoblast cells via
IDF Barak 338 - H-S Precision Pro Series 2000 HTR | IDF Bara… | Flickr
5-HTR2A and 5-HTR3A but not 5-HTR1A antagonism impairs the cross-modal
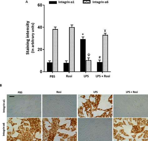
Rosiglitazone blocks first trimester in-vitro placental injury caused
Frontiers | Effects of psilocybin, psychedelic mushroom extract and 5
Integrator is a key component of human telomerase RNA biogenesis
Downregulation of lysyl oxidase and lysyl oxidase-like protein 2
Long non-coding RNA RPAIN regulates the invasion and apoptosis of
Figures and data in The RNA interactome of human telomerase RNA reveals
EGF-mediated reduced miR-92a-1-5p controls HTR-8/SVneo cell invasion
The lncRNA TUG1 modulates proliferation in trophoblast cells via
Non-Gaussian amplitude PDF modeling of ultrasound images based on a
BMAL1 facilitates trophoblast migration and invasion via SP1-DNMT1
miR-181a-5p suppresses invasion and migration of HTR-8/SVneo cells by
Bisphenol A exposure promotes HTR-8/SVneo cell migration and impairs
303 See Other
The H/ACA complex disrupts triplex in hTR precursor to permit
BMAL1 facilitates trophoblast migration and invasion via SP1-DNMT1
The H/ACA complex disrupts triplex in hTR precursor to permit
Integrator is a key component of human telomerase RNA biogenesis
Human placental cell line HTR-8/SVneo accumulates cadmium by divalent
20.1 Hypersensitivities – Microbiology: Canadian Edition
RICO - News & events
Reviews en informatie over werken bij HTR Security Systems | SimplyHired
HTR Industries from Chennai, India | About Us
HTR Industries from Chennai, India | About Us
HTR - Hit the Road - Aplicativo android
Gambar Logo htr - Unduh Gratis di Freepik
Gambar Logo htr - Unduh Gratis di Freepik
HTR Store The 6th Wave by 10After10 [Digital Download] - Shop

πŸ“– Continue Reading:

Bryon Noem's Family Feud Explodes! Thanksgiving Will Be Awkward. Vegamovies.si Revealed: The Controversial Movie That Got Banned!

πŸ“š You May Also Like These Articles

πŸ“Œ Wustl Box: The Shocking Reality Of Mental Health At WashU Revealed.
πŸ“Œ Louisville Craigs List: This Listing Sparked A City-wide Debate Online.
πŸ“Œ Charlie D'Amelio Naked? You Will Question EVERYTHING After Seeing This!
πŸ“Œ Round Yellow Pill With L: Doctor Reveals Shocking Truth About It!
πŸ“Œ Jackie Lawson Log In Secret: This Is Why She's Been Trending All Week.
πŸ“Œ Kadaza Conservative News Sites REVEALED: The Truth They Don't Want You To See.
πŸ“Œ Low Keydeadinside Starter Pack: If You Get It, You Get It.
πŸ“Œ Richmond.craigslist: My Date From This Ad Ended In Disaster!

πŸ”₯ Popular Posts

  • Paige Dylan: The Truth About Her Rivalry With [Another Celeb...
  • Joe Biden Sniffing: The Victims Speak Out About Their Uncomf...
  • Va Pilot Obituaries Today: The Secret Life They Led, Now Rev...
  • Sf Craigslist: This Changed My Life Forever (and It Was FREE...
  • Don Carlo Gambino's Final Act Of Defiance Will Leave You Stu...
  • Maddison Twins' SHOCKING Political Views Ignite Online Fires...
  • Hot Outside Meme Just Unlocked A New Level Of Summer Sufferi...
  • Izzy Green Nudes Controversy EXPLODES! Hollywood Is Reeling...
  • Meganmakinmoney Nude: This Changes Everything! Shocking Phot...

πŸ“ Recent Posts

  • Albany.craigslist: They're Giving Away Free Puppies?! (Read...
  • Albert Lea Obituaries: Local Legends Gone Too Soon ? See The...
  • Actors From The Goonies Today: You Won't Believe What Mama F...
  • Amanda Batula Age: Her Craziest Moments CAUGHT On Camera!
  • Doublist Conspiracy Theory: This Is Deep... Very Deep.
  • Did Hailie Jade Scott Just Confirm A New Eminem Album? Fans...
  • Brandy And Billy Only Fans: Their Careers Are OVER If This G...
  • Hickeys On Neck! The Reason Why She Dumped Him Will SHOCK Yo...
  • Worlds Heaviest Man's Before-and-after Pictures Are Truly Un...
  • Ups Notary Fee: The Loophole That's Costing You Big Bucks!
© 2025 World News Update  Β·  Powered by Hugo
close